calculus bridge meaning Calculus bridge images, symptoms, causes, removal
If you are searching about Qu Dentists on Twitter: "Calculus bridge scaling done by: @SomayaGarawi you've came to the right page. We have 9 Pictures about Qu Dentists on Twitter: "Calculus bridge scaling done by: @SomayaGarawi like Qu Dentists on Twitter: "Calculus bridge scaling done by: @SomayaGarawi, Calculus Bridge: Causes, Symptoms, Prevention and Removal and also Qu Dentists on Twitter: "Calculus bridge scaling done by: @SomayaGarawi. Here you go:
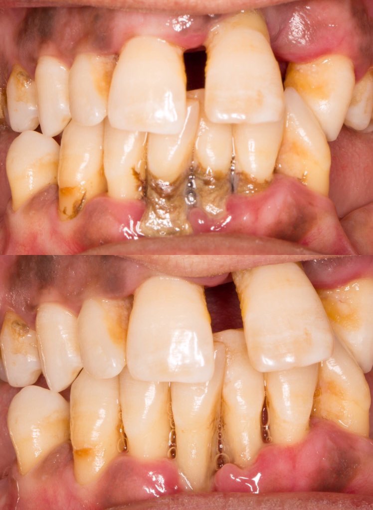
Qu Dentists On Twitter: "Calculus Bridge Scaling Done By: @SomayaGarawi

Calculus Bridge: Causes, Symptoms, Prevention And Removal

calculus bridge dental teeth disease health hygienist oral periodontal dentistry tooth amanda surgery flow babe inf0 gingivitis prevention symptoms causes
Calculus Bridge Images, Symptoms, Causes, Removal - Health Care Tips

calculus
Calculus Bridge: Causes, Symptoms, Prevention And Removal

calculus bridge removal causes symptoms prevention
What Is Calculus Bridge (Tartar)? | Symptoms, Causes And Removal

bridge calculus removal tartar symptoms causes clearly looks
Calculus Bridge Or Tartar? Its Cause, Symptoms And How To Get Rid Of It!

calculus
Calculus Bridge, Symptoms, Treatment - Healthcare Solutions

calculus teeth gums
Qu Dentists On Twitter: "Calculus Bridge Scaling Done By: @SomayaGarawi

Things You Should Never Google - Creepy Gallery | EBaum's World

bridge calculus plaque build
Things you should never google. Calculus bridge or tartar? its cause, symptoms and how to get rid of it!. Qu dentists on twitter: "calculus bridge scaling done by: @somayagarawi